Respuestas cortesía de Daniel Selva Talón (@danielselvatl)
Estas respuestas no son las oficiales ( las actualizaremos con las mismas en cuanto salgan) sólo reflejan la opinión de aquellos voluntarios que han elegido participar en la Iniciativa MIR 2.0 de respuesta al examen MIR de enero de 2024. (La numeración se corresponde con la Versión 0 del examen). Actualización 23-1-24: Las respuestas coinciden con las provisionales que acaba de publicar el Ministerio
Ahora te toca a ti participar para que esta iniciativa siga perdurando. Ya sea ayudando a responder una parcela de preguntas, o simplemente difundiendo la iniciativa entre tus compañeros y conocidos. Colabora pulsando aquí.
Hilo con las preguntas de Radiología del MIR 2024, a la espera de las respuestas oficiales del Ministerio. Felicidades a los que os habéis examinado
Índice de contenidos
Pregunta 2.

Pregunta asociada a la imagen 2.
Paciente que ha sufrido un accidente de bicicleta con traumatismo facial directo sobre la región anterior de la mandíbula. Se realiza la tomografía computarizada (TC) de la imagen que confirma una:
- Fractura panfacial tipo Lefort I.
- Fractura panfacial tipo Lefort II.
- Fractura mandibular bicondílea inestable.
- Fractura mandibular bilateral en ramas horizontales inestable.
Reconstrucción 3D de TC que muestra una fractura inestable de ambas ramas horizontales de la mandíbula. RESPUESTA 4.
Pregunta 5.

Pregunta asociada a la imagen 5.
Mujer de 32 años con diagnóstico reciente de carcinoma ductal infiltrante G3 de mama izquierda, fenotipo triple negativo. Se muestran las
imágenes de la PET-TC con 18F-FDG con proyección de intensidad máxima (MIP) y cortes axiales a nivel de mama y axila. De las siguientes
afirmaciones, señale la correcta:
- El tratamiento electivo de inicio es tumorectomía y biopsia selectiva de ganglio centinela.
- El tratamiento electivo de inicio es mastectomía y biopsia selectiva del ganglio centinela.
- Se visualiza afectación en mama izquierda y axilar ipsilateral.
- Se visualiza afectación en mama izquierda, axila izquierda y metástasis a distancia.
PET-TC con focos hipermetabólicos en mama izquierda y región axilar ipsilateral. Los demás focos de avidez son debidos a captación y excreción fisiológica. Como se demuestra afectación axilar no es necesaria biopsia selectiva del ganglio centinela. RESPUESTA 3.
Pregunta 7.

Pregunta asociada a la imagen 7.
Mujer de 57 años que consulta por hipoacusia derecha neurosensorial progresiva y acúfenos. En relación con la imagen mostrada, indique de qué exploración se trata y el diagnóstico más probable:
- RM sin contraste. Meningioma.
- TC con contraste. Tumor epidermoide.
- RM con contraste. Tumor glial.
- RM con contraste. Schwannoma vestibular
RM cerebral con contraste en que se observa una lesión extraaxial que depende del CAI (signo del cono de helado) que corresponde a un schwannoma vestibular. RESPUESTA 4.
Pregunta 8.

Pregunta asociada a la imagen 8.
Hombre de 84 años con antecedentes de hipertensión arterial, dislipemia e infarto agudo de miocardio. Acude a urgencias por deterioro
cognitivo rápidamente progresivo, amnesia, inestabilidad para la marcha y hemianopsia homónima izquierda. Se le realiza la siguiente TC
craneal. Señale cuál es el diagnóstico más probable ante el hallazgo mostrado:
- Absceso cerebral secundario a otitis media aguda derecha.
- Trombosis venosa del seno sigmoide derecho.
- Infarto isquémico agudo en territorio de arteria cerebral posterior derecha.
- Neoplasia cerebral de origen glial con edema perilesional asociado.
TC craneal con área hipodensa en el lóbulo occipital derecho en territorio de la ACP debida a un infarto isquémico agudo de esta arteria. RESPUESTA 3.
Pregunta 9.

Pregunta asociada a la imagen 9.
Hombre de 72 años con diagnóstico de carcinoma de cavidad oral intervenido hace tres meses con resección completa, en tratamiento con
quimioterapia, portador de gastrostomía endoscópica percutánea profiláctica, que acude a urgencias por dolor y distensión abdominal de tres días de evolución, intolerancia oral y ausencia de deposiciones. Se realiza la TC abdominopélvica con contraste intravenoso que se muestra en la imagen. ¿Cuál de los siguientes es el diagnóstico más probable?:
- Obstrucción intestinal secundaria a neoplasia estenosante de colon descendente.
- Obstrucción intestinal de causa extrínseca por carcinomatosis peritoneal.
- Obstrucción intestinal por migración e impactación de la sonda de gastrostomía.
- Obstrucción funcional o íleo pseudoobstructivo por fármacos.
TC abdominal con contraste intravenoso en que se observa dilatación de asas en relación con oclusión intestinal. En colon descendente se identifica una lesión estenosante (imagen en corazón de manzana) sospechosa de neoplasia. RESPUESTA 1.
Pregunta 10.

Pregunta asociada a la imagen 10.
Hombre de 61 años, que recibió un trasplante alogénico haploidéntico hace 20 meses por linfoma no Hodgkin T, en respuesta completa, que consulta por un síndrome febril desde hace 72 horas con tos y expectoración blanquecina y disnea progresiva a moderados esfuerzos. Refiere astenia desde hace un mes y medio. Se realiza la TC torácica que se muestra en la imagen. ¿Cuál de los siguientes es el diagnóstico más probable?:
- Neumonía por Mycobacterium tuberculosis.
- Neumonía por Aspergillus.
- Neumonía por Streptococcus pneumoniae.
- Neumonía por Pneumocystis jirovecii.
TC torácica con opacidades en vidrio deslustrado peribroncovasculares bilaterales. El diagnóstico más probable en un paciente inmunodeprimido por aloTPH es una neumonía por Pneumocystis jirovecii. RESPUESTA 4.
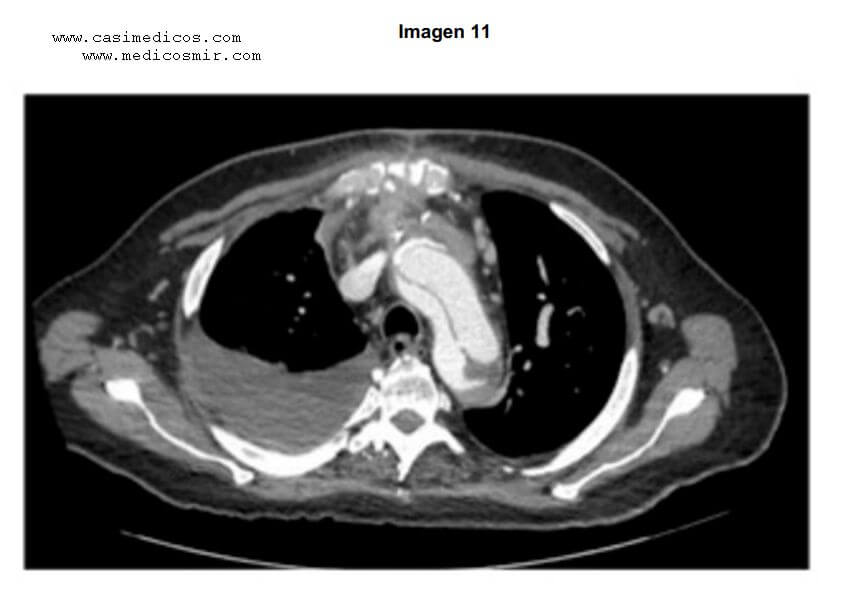
Pregunta 11.

Pregunta asociada a la imagen 11.
Hombre de 52 años que consulta por dolor centrotorácico desgarrador de 30 minutos de duración. A la exploración está inquieto y
sudoroso. La tensión arterial es de 190/110 mmHg en ambos brazos. A la auscultación no hay soplos cardiacos ni estertores crepitantes. El
electrocardiograma está en ritmo sinusal a 90 latidos por minuto sin alteraciones de la repolarización. En la angioTC torácica se observa
la imagen que se adjunta. ¿Cuál es el diagnóstico más probable?:
- Hematoma intramural.
- Úlcera penetrante arteriosclerótica.
- Pseudoaneurisma de aorta.
- Disección de aorta tipo A de Stanford.
AngioTC torácica en que muestra un flap intimal en la aorta torácica que corresponde a una disección de aorta tipo A de Stanford. RESPUESTA 4.
Pregunta 12.

Pregunta asociada a la imagen 12.
Hombre de 75 años sin factores de riesgo cardiovascular. Acude a su centro de salud por disnea de moderados esfuerzos de un año de
evolución, que en las últimas semanas aparece ante pequeños esfuerzos. En la exploración física se ausculta en el 2º espacio intercostal derecho un soplo sistólico rudo, irradiado a carótidas con borramiento del 2º tono cardiaco. Se practica un ecocardiograma que muestra una función biventricular normal y un engrosamiento de una de las válvulas cardiacas que presenta un área de 0,95 cm2 (imagen). ¿Cuál es el diagnóstico más probable y la actitud terapéutica a seguir?:
- Estenosis valvular aórtica grave con indicación
de recambio valvular. - Estenosis valvular aórtica moderada con
indicación de seguimiento clínico ambulatorio. - Estenosis mitral grave con indicación de
recambio valvular. - Estenosis mitral moderada con indicación de
seguimiento clínico ambulatorio.
Ecocardiograma transesofágico en que se observa la válvula aórtica con un área de apertura disminuida que indica estenosis. Como el área es inferior a 1 cm2 se considera grave y existe indicación de recambio valvular. RESPUESTA 1.
Pregunta 14.

Pregunta asociada a la imagen 14.
Paciente de 54 años que acude a realizarse una ecografía abdominal como control de una enfermedad de Crohn. Nunca ha presentado
cólicos biliares y no tiene otra comorbilidad relevante. En la imagen se muestran los hallazgos de la ecografía (izquierda modo B y derecha con contraste IV). De las siguientes, señale la afirmación correcta:
- A pesar de que nunca ha tenido síntomas de origen biliar está indicada la colecistectomía como prevención del cáncer de vesícula biliar.
- Dado que está asintomático y no tiene riesgo aumentado de cáncer de vesícula biliar no se recomienda la colecistectomía y no es preciso
seguimiento por este motivo. - La imagen no es suficientemente concluyente como para tomar una decisión terapéutica. Sería necesario ampliar el estudio con RM y/o PET/TC.
- No está indicada la colecistectomía por estar asintomático, pero sí el seguimiento periódico.
Ecografía que muestra una lesión en la pared de la vesícula biliar. En un paciente con enfermedad de Crohn que tiene mayor riesgo de cáncer de vesícula biliar hay que realizar una colecistectomía aunque esté asintomático. RESPUESTA 1.
Pregunta 15.

Pregunta asociada a la imagen 15.
Mujer de 63 años, con antecedentes de obesidad, diabetes mellitus, tabaquismo, hipercolesterolemia y enfermedad pulmonar obstructiva crónica. Intervenciones quirúrgicas previas: mastectomía izquierda por cáncer de mama hace 12 años y pancreatectomía distal por tumor neuroendocrino de páncreas hace 2 años. Acude a urgencias por dolor abdominal difuso de reciente aparición, distensión abdominal, vómitos y estreñimiento. Analítica sanguínea con leucocitosis y desviación a la izquierda, sin alteraciones hidroelectrolíticas.
Pruebas bioquímicas y de coagulación normales. Tras realización de la TC abdominal que se muestra en la imagen ¿cuál de los siguientes es el diagnóstico más probable?:
- Neoplasia de colon.
- Eventración abdominal.
- Perforación de víscera hueca.
- Isquemia mesentérica.
TC abdominal con contraste intravenoso que muestra una eventración abdominal con asas intestinales en su interior y líquido intraherniario como signo de complicación. RESPUESTA 2.
Pregunta 17.

Pregunta asociada a la imagen 17.
Hombre de 63 años, fumador de 15 cigarrillos al día como único antecedente de interés, que consulta por cefalea. Se detecta presión arterial de 180/110 mmHg, iniciándose tratamiento con enalapril 10 mg. Se realiza analítica donde no hay ningún parámetro fuera de rango. A la semana se objetiva un buen control de la presión arterial y una creatinina de 3 mg/dL correspondiente a un FGe (filtrado glomerular estimado) de 22 ml/min. En la exploración física se detecta un soplo abdominal. Se realiza una angioTC abdominal (figura). ¿Cuál de las siguientes afirmaciones es más probable?:
- Tiene una estenosis unilateral de la arteria renal y la administración de enalapril ha provocado una caída del FGe por la pérdida de vasoconstricción de la arteriola eferente.
- Tiene una nefritis intersticial por enalapril.
- Tiene una estenosis bilateral de las arterias renales y la administración de enalapril ha provocado una caída del FGe por la pérdida de
vasoconstricción de la arteriola eferente. - Tiene una insuficiencia renal aguda debida a la crisis hipertensiva.
Angio-TC abdominal que muestra una estenosis bilateral de las arterias renales. La administración de enalapril ha provocado una caída del FG por pérdida de vasoconstricción de la arteriola eferente. RESPUESTA 3.
Pregunta 19.

Pregunta asociada a la imagen 19.
Hombre de 57 años que refiere que hace 7 días comenzó de forma súbita con dolor en flanco izquierdo con irradiación anterior, náuseas y vómitos, que ha acudido cuatro veces a urgencias por este motivo. Hoy acude nuevamente, ya que el dolor no se controla con la analgesia pautada. Se objetiva tensión arterial media de 63 mmHg, temperatura 38,5 ºC y obnubilación. En la analítica sanguínea destacan 3.300 leucocitos/mm3 con 80 % segmentados, creatinina 1,4 mg/dl y proteína C reactiva 7,5 mg/dl (<0,5 mg/dl). Sedimento urinario con pH 5, nitritos, leucocituria, microhematuria y bacteriuria. Se solicitan radiografía simple de abdomen y ecografía abdominal (imágenes). Ante estos hallazgos ¿cuál de las siguientes es la actitud más adecuada?:
1. Antibioticoterapia, sueroterapia, analgesia y alcalinización intravenosas y un alfa-bloqueante vía oral y observación en urgencias hasta control sintomático.
2. Antibioticoterapia y sueroterapia intravenosas y derivación urgente de la vía urinaria mediante catéter doble jota o nefrostomía percutánea, con tratamiento diferido del agente causal.
3. Antibioticoterapia, sueroterapia, analgesia intravenosas y un alfa-bloqueante vía oral e ingreso en la Unidad de Cuidados Intensivos.
4. Antibioticoterapia y sueroterapia intravenosas y litotricia extracorpórea por ondas de choque o ureterorrenoscopia.
Radiografía de abdomen con litiasis en uréter izquierdo y ecografía con dilatación pielocalicilar del riñón izquierdo secundaria. Ante la existencia de fiebre y valores analíticos de alarma hay que realizar una derivación urgente de la vía urinaria. RESPUESTA 2.
Pregunta 20.

Pregunta asociada a la imagen 20.
Ante esta imagen en un paciente con un trastorno motor en miembros inferiores, señale la respuesta INCORRECTA:
- Debemos buscar una malformación de Chiari.
- En algunos casos se asocia a hidrocefalia.
- Se caracteriza por una pérdida de la sensibilidad táctil y vibratoria con preservación de la sensación térmica y dolorosa.
- Puede producirse tras traumatismos o infecciones.
RM cervical con lesión hiperintensa en la médula espinal correspondiente a una siringomielia. Puede ser debida a traumatismos, infecciones o malformación de Chiari, y esta última puede producir hidrocefalia. La pérdida de sensibilidad es termoalgésica. RESPUESTA 3.
Pregunta 21.

Pregunta asociada a la imagen 21.
Un paciente de 27 años, tras sufrir una caída de un caballo, presenta un traumatismo en el miembro inferior izquierdo con una actitud del mismo en flexión, aducción y rotación interna. Tras realizarle la radiografía anteroposterior de pelvis que se muestra, señale cuál es el diagnóstico:
- Fractura pertrocantérea de fémur izquierdo.
- Fractura subcapital de fémur izquierdo.
- Luxación anterior de cadera, con fractura de pared anterior de acetábulo.
- Luxación posterior de cadera, con fractura de pared posterior de acetábulo.
Radiografía de pelvis en que vemos una luxación posterior de la cabeza femoral izquierda (posición de “bañista sorprendido”) con fractura de la pared posterior del acetábulo. RESPUESTA 4.
Pregunta 22.

Pregunta asociada a la imagen 22.
Mujer de 75 años, autónoma y activa, que sufre una caída en su domicilio y acude a urgencias con dolor, impotencia funcional y deformidad
alrededor de la rodilla izquierda. Había sido intervenida quirúrgicamente de esta rodilla hacía 2 años por gonartrosis mediante una artroplastia total de rodilla cementada postero-estabilizada. Los pulsos distales están conservados. Existe una movilidad patológica de la rodilla izquierda sin apreciarse déficit neurológico en la pierna afecta. Se realizan la radiografía y la TC que se muestran en las imágenes. ¿Cuál de las siguientes sería la actitud terapéutica en esta situación?:
- Placa condílea de ángulo fijo a 95 grados con
tornillos de compresión interfragmentaria. - Placa condílea de fémur bloqueada de fijación
angular. - Clavo de fémur retrógrado acerrojado largo.
- Clavo anterógrado cérvico-cefálico de fémur
para proteger todo el fémur.
Fractura periprotésica de fémur distal en paciente con artroplastia total de rodilla. Hay poco fragmento distal por lo que se debe estabilizar con una placa condílea bloqueada de fijación angular. RESPUESTA 2.
Pregunta 109.
Hombre de 50 años que consulta por dolor lumbar de 6 meses de evolución que no mejora con el reposo, incluso le despierta por la noche, con rigidez lumbar matutina de más de una hora de duración. ¿Cuál de las siguientes imágenes es más probable encontrar en una radiografía de columna lumbar?:
- Osteofitos típicos de la espondiloartrosis.
- Osteofitos típicos de la espondiloartritis.
- Sindesmofitos típicos de la espondiloartrosis.
- Sindesmofitos típicos de la espondiloartritis.
Se describe un dolor inflamatorio propio de una espondiloartritis y en una radiografía de columna lumbar es más probable encontrar sindesmofitos típicos. RESPUESTA 4.
Pregunta 147.
Varón de 66 años sin antecedentes de interés que acude a urgencias por dolor tipo cólico en fosa renal derecha, sin repercusión analítica. El dolor se controla con el tratamiento analgésico pautado. La ecografía abdominal describe la existencia de un engrosamiento focal de 2,5 cm de diámetro en pelvis renal derecha. ¿Qué prueba se debe solicitar para completar el estudio?:
- Resonancia magnética.
- Urografía intravenosa.
- Tomografía axial sin y con contraste IV.
- Repetir la ecografía abdominal.
Ante un engrosamiento focal de la pelvis renal derecha en ecografía abdominal se debe realizar una TC sin y con contraste intravenoso para descartar la existencia de una neoplasia urotelial. RESPUESTA 3.
Mucha suerte a todos y después de corregir, a descansar, que bien os lo habéis ganado
LAS RESPUESTAS TAMBIÉN SE PUBLICARÁN EN LOS DIFERENTES BLOGS/redes DE LOS PROFESIONALES QUE PARTICIPAN EN LA INICIATIVA.
Puedes comentar sobre este tema en el foro
OS PEDIMOS DESDE AQUÍ LA MÁXIMA DIFUSIÓN A LA INICIATIVA PARA QUE LLEGUE AL MÁXIMO DE OPOSITORES MIR PRESENTES Y FUTUROS PARA QUE LES SEA DE AYUDA.





