Respuestas cortesía de Ernesto Santana ( @ernestosantana1 )
Estas respuestas no son las oficiales ( las actualizaremos con las mismas en cuanto salgan) sólo reflejan la opinión de aquellos voluntarios que han elegido participar en la Iniciativa MIR 2.0 de respuesta al examen MIR de enero de 2022. (La numeración se corresponde con la Versión 0 del examen)
Índice de contenidos
Pregunta 9
Pregunta vinculada a la imagen 9

Mujer de 85 años, en tratamiento con rosuvastatina por dislipemia, que en las últimas 4 semanas presenta fiebre diaria (38-38,5ºC), bien tolerada, sin escalofríos y sin sudoración nocturna, y pérdida de 3 kg de peso. En la exploración física destaca engrosamiento de la arteria temporal izquierda. Análisis: PCR 12 mg/dl, hemoglobina 9,5 g/dl. Radiografía de tórax normal. El resultado de la PET/TC se muestra en la figura. En este contexto ¿cuál es la respuesta correcta?:
- La fiebre o febrícula es un síntoma presente en menos del 10 % de los pacientes.
- Cuando se diagnostica la enfermedad, los hallazgos radiológicos (como los observados en esta PET/TC) están presentes en un 50-70 % de los pacientes.
- Atendiendo a los hallazgos de la PET/TC en esta paciente tiene indicación de tratamiento inmediato con glucocorticoides (20 mg/día) y tocilizumab.
- La PET/TC es la técnica más específica para establecer el diagnóstico.
Respuesta correcta: 2.
Comentario:
Se trata de un cuadro clínico compatible con arteritis de células gigantes. En las imágenes de PET/TAC mostradas se objetiva un aumento de la actividad metabólica lineal en las paredes de la aorta así como en el origen de la arteria subclavia izquierda incluida en relación con arteritis de gran vaso, visibles en un 50-70% de los pacientes (respuesta 2 correcta). La fiebre o febrícula está presente en más del 50% de los pacientes (respuesta 1 incorrecta). Ante este cuadro está indicado iniciar el tratamiento con corticoides a altas dosis (70 mg/dia) y tocilizumab (respuesta 3 incorrecta). La biopsia es la técnica más específica (respuesta 4 incorrecta).
Pregunta 13
Pregunta vinculada a la imagen 13

Mujer de 64 años que consulta por dolor centrotorácico de 24 horas de evolución sin otras manifestaciones clínicas. En la radiografía de tórax ¿qué hallazgo se encuentra?:
- Aneurisma aórtico
- Pericarditis aguda
- Neumonía
- Hernia hiatal
Respuesta correcta: 4
Comentario:
Se nos muestra una Radiografía de tórax en proyección PA, visualizando una imagen retrocardíaca, en mediastino posterior con desplazamiento del receso ácigo-esofágico y nivel hidroáereo en su interior compatible con hernia de hiato (respuesta 4 correcta). El aneurisma aórtico de aorta torácica descendente podría manifestarse igualmente como una imagen en mediastino posterior, pero en este caso no habrá nivel hidroaéreo (respuesta 1 incorrecta). La pericarditis aguda normalmente cursa sin alteraciones en la silueta cardíaca, salvo que tuviese una importante cuantía de derrame pericardico. En esta entidad es frecuente la presencia de derrame plural izquierdo (respuesta 2 incorrecta). No se identifican opacidades en los parénquimas pulmonares que sugieran procesos neumónicos (respuesta 3 incorrecta).
Pregunta 15
Pregunta vinculada a la imagen 15.

En un paciente anticoagulado y antiagregado que presenta lenguaje incoherente sin otras manifestaciones clínicas asociadas, con una imagen en la TC craneal como la que se muestra, ¿cuál es el diagnóstico más probable?:
- Hemorragia subaracnoidea.
- Hematoma subdural.
- Hematoma epidural.
- Hematoma intraparenquimatoso.
Respuesta correcta: 2
Comentario:
Se trata de una colección hiperdensa de localización extraaxial en convexidad izquierda, con morfología semilunar y que cruza la sutura ósea frontoparietal. Estos hallazgos son compatibles con hematoma subdural (respuesta 2 correcta). El hematoma epidural, por el contrario, suele presentar una morfología biconvexa y, típicamente, no atraviesa suturas óseas (respuesta 3 incorrecta). La hemorragia subaracnoidea presenta una morfología serpiginosa hiperdensa entre los surcos cerebrales (respuesta 1 incorrecta). El hematoma intraparenquimatoso, como su propio nombre indica, es una lesión intraxial, una morfología más redondeada que suele estar rodeado de edema vasogénico (visualizado como un área hipodensa alrededor del hematoma)
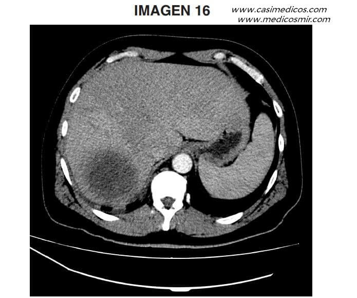
Pregunta 16
Pregunta vinculada a la imagen 16

Varón de 47 años sin antecedentes de interés que acude a urgencias por fiebre de hasta 39ºC con escalofríos y sudoración, de una semana de evolución, acompañada de dolor epigástrico y malestar general. Se realiza TC abdominopélvica con contraste endovenoso que se muestra en la imagen. ¿Cuál de los siguientes diagnósticos es más probable?:
- Absceso hepático
- Hemangioma hepático
- Hepatocarcinoma
- Hiperplasia nodular focal con necrosis en su interior.
Respuesta correcta: 1.
Comentario:
Esta pregunta podría responderse prácticamente haciendo caso omiso a la imagen dado que el paciente presenta una clínica infecciosa de 1 semana de evolución, lo que ya orienta a absceso, por encima de las otras opciones. Ciñéndonos a la imagen, nos encontramos con un corte de TC de hemiabdomen superior en una fase probablemente arterial tardía (el bazo presenta una mayor densidad global que el hígado debido a que el 80% de la vascularización de este proviene de la vena porta), donde se objetiva una lesión hipodensa en segmento VII, bien definida, sin realice periférico significativo. Los margenes de dicha lesión presentan una mayores densidad y bordes poco definidos que podrían traducir areas flemonosas. Estos hallazgos son compatibles con absceso hepático con áreas flemosas periféricas (respuesta 1 correcta). El hemangiona hepático típicamente se presenta como una lesión con realce periférico en fase arterial, que presenta relleno de contraste progresivo centrípeto en fases tardías (respuesta 2 incorrecta). El hepatocarcinoma suele asentar sobre hígados cirróticos (que se visualizan en TC con nodularidad del borde hepático así como hipodensidad difusa e heterogeneidad del parénquima, no presentes en este caso) y se identifica en la mayoría de los casos como una lesión mal definida con realce en fase arterial, siendo necesaria para su confirmación por TC un lavado de contrastes en fases tardías (respuesta 3 incorrecta). En cuanto a la hiperplasia nodular focal esta se demuestra con un realce brillante homogéneo en fase arterial (a excepción de una típica cicatriz central hipodensa). En fases tardías, la lesión se torna hipodensa y la cicatriz referida, hiperdensa. (Respuesta 4 incorrecta)
Pregunta 17
Pregunta vinculada a la imagen 17.

Varón de 74 años sin antecedentes de interés que consulta por presentar desde hace 15 días sensación continua de distensión abdominal e intolerancia oral con vómitos ocasionales de contenido maloliente. En la analítica únicamente destaca glucemia 110 mg/dl, PCR 6,3 mg/L (normal 0-5) y 13.140 leucocitos/microL. Se realiza TC abdominal con contraste intravenoso, que se muestra. Considerando los datos clínicos y la prueba de imagen ¿qué diagnóstico es más probable?:
- Obstrucción gástrica por neoplasia antropilórica.
- Gastritis enfisematosa.
- Gastroparesia diabética.
- Úlcera péptica con signos de perforación contenida.
Respuesta correcta: 1.
Comentario:
De entrada la clínica, aunque inespecífica, orienta hacia un cuadro oclusivo abdominal. En el TC que se nos aporta se objetiva un engrosamiento irregular y nodular a nivel del antropíloro con estenosis prácticamente completa de la luz a dicho nivel, condicionado retrogradamente un aumento del volumen del estómago (estómago de retención). Además, presenta infiltración de la grasa mesentérica adyacente Estos hallazgos deben plantear como primera posibilidad diagnostica un neoplasia gástrica con obstrucción secundaria a la misma (respuesta 1 correcta). No se objetiva gas en la pared del estómago (respuesta 2 incorrecta). Asimismo, tampoco se objetiva neumoperitoneo adyacente al estómago (aunque se visualiza una burbuja aislada grande de gas que podría confundirnos a nivel de la pared abdominal anterior derecha pero que se trata realmente de contenido gaseoso del colon transverso) ni soluciones de continuidad en la pared gástrica que hagan sospechar un ulcus perforado (respuesta 4 incorrecta). La gastroparesia diabética es un trastorno eminentemente funcional, sin traducciones habituales en las pruebas de imagen morfológicas convencionales como es la TC (respuesta 3 incorrecta).
Pregunta 19
Pregunta vinculada a la imagen 19

Varón de 56 años con antecedentes de infección por VIH diagnosticada hace unos meses, que es encontrado confuso, desorientado y con hemiparesia derecha. La familia refiere que presenta una pérdida significativa de peso en los últimos 6 meses, así como diarrea frecuente. No ha comenzado tratamiento antirretroviral por deseo personal. Los análisis muestran una carga viral de VIH-1 de 600.000 copias/mL, 130 linfocitos CD4, 900 linfocitos totales y un cociente CD4/CD8 de 0,1. La serología a toxoplasma, la carga viral de CMV y el antígeno criptocócico en sangre son negativos. La RM cerebral se muestra en la figura. ¿Cuál es el diagnóstico más probable?:
- Toxoplasmosis cerebral.
- Linfoma primario del sistema nervioso central. .
- Leucoencefalopatía multifocal progresiva.
- Encefalitis por CMV.
Respuesta correcta: 2.
Comentarios:
Pregunta con imagen asociada que te permite descartar por el enunciado 2 opciones quedando la Leucoencefalopatía Multifocal Progresiva y el Linfoma primario del SNC (respuestas 1 y 4 incorrectas). Esta reducción de opciones hace mucho más sencilla la interpretación de la imagen aportada, que se trata de un corte transversal del cerebro en una imagen de RM potenciada en T2 (distinguible por la hiperintensidad intensidad del LCR a nivel de los ventrículos laterales y surcos corticales). En dicha imagen, observamos una lesión única a nivel de la sustancia blanca profunda de la corona radiata izquierda y adyacente al cuerpo del ventrículo lateral izquierdo, la cual presenta una moderna señal hiperintensa y leve cuantía de edema vasogénico. Las claves en este caso son el numero de lesiones ya que la PML suele ser multifocal y simétrica, produciendo en raros casos efecto masa. Nótese en esta imagen el desplazamiento contralateral del septum peludicum (linea de separación entre ambos ventrículos laterales) como signo de expansividad, por lo que me inclino por el linfoma primario del SNC. (Respuesta 4 incorrecta; 2 correcta).
Pregunta 91
¿Cuál de las siguientes NO es una indicación para la realización de pruebas de neuroimagen en psiquiatría?:
- Trastorno mental de inicio después de los 50 años.
- Crisis convulsivas con síntomas psiquiátricos.
- Recaída psicótica al suspender el tratamiento tras un primer episodio psicótico.
- Presencia de síntomas psiquiátricos atípicos.
Respuesta correcta: 3.
Comentario:
La indicación de pruebas de neuroimagen en pacientes con síntomas psiquiátricos es controvertida en algunos aspectos (sobretodo, existen dudas acerca de la rentabilidad de la prueba en aquellos pacientes cuadros psiquiátricos típicos y sin focalidad neurológica), por ello las respuestas 2 y 4 parecen verdaderas. La respuesta 1 parece también verdadera si se sospecha de que ese trastorno mental provenga de una lesión orgánica cerebral. La respuesta 3, por el contrario, parece falsa debido a qu parece más plausible que una recaída psicótica tras retirar tratamiento se deba a dicha retirada que a una lesión orgánica, máxime si se descartó lesión orgánica en el momento del diagnóstico de la enfermedad.
Mucha suerte a todos y después de corregir, a descansar, que bien os lo habéis ganado
LAS RESPUESTAS TAMBIÉN SE PUBLICARÁN EN LOS DIFERENTES BLOGS DE LOS PROFESIONALES QUE PARTICIPAN EN LA INICIATIVA.
Puedes comentar sobre este tema en el foro
OS PEDIMOS DESDE AQUÍ LA MÁXIMA DIFUSIÓN A LA INICIATIVA PARA QUE LLEGUE AL MÁXIMO DE OPOSITORES MIR PRESENTES Y FUTUROS PARA QUE LES SEA DE AYUDA.




