ANESTESIOLOGÍA Y CUIDADOS CRÍTICOS
Por cortesía de @pmerino y @doctorajomeini
Pregunta 9
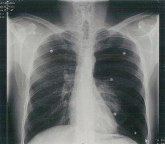
Hombre de 28 años, de 185 cm de estatura y Peso de 80 Kg, jugador de baloncesto ocasional, fumador de 5 cigarrillos día, acude al servicio de urgencias refiriendo dolor brusco en hemitórax izquierdo y ligera disnea. En la urgencia se le toman las constantes presentando TA 120/80 mm Hg, FC 80 lpm, pulsioximetría 87%, además se le ordena una radiografía de tórax (imagen nº 5). Con rcspecto al caso anterior ¿cuál es el diagnóstico más probable entre los siguientes?

- Derrame pleural izquierdo.
- Coartación aórtica.
- Disección aórtica.
- Neumotórax.
- Neumonía izquierda.
Comentario:
RESPUESTA: 4 La pregunta expone un caso clínico compatible con un neumotórax espontaneo (los datos de dolor torácico brusco en un hemitorax acompañado de ligera disnea en un hombre joven y delgado son muy sugestivos de ello). En la RxT se aprecia además un neumotórax izquierdo con hiperclaridad del hemitorax izquierdo y pulmón izquierdo colapsado. No se aprecia derrame pleural ni neumonía (opciones 1 y 5). Asimismo el cuadro clínico no parece el de una disección aórtica (el diagnóstico tampoco se puede comprobar mediante RxT, pero tampoco existen los signos típicos de una disección) ni el de una coartación aórtica. En resumen la opción correcta es la 4.
Comentario del radiólogo:La respuesta correcta es: 4. Neumotórax. Se evidencia neumotórax masivo con atelectasia completa pulmón izquierdo.
Índice de contenidos
Pregunta 10
Pregunta vinculada a la imagen nº 5 Con respecto al caso anterior. ¿Cuál es el manejo más indicado?
- Puncionar el hemitórax derecho para recoger muestras de líquido pleural.
- Dar de alta al enfermo tras haber cumplido un ciclo de antibióticos y tras mejoría de la consolidación pulmonar izquierda.
- Iniciar tratamiento con furosemida ya que el paciente esta haciendo un edema agudo de pulmón.
- Colocar tubo intratorácico conectado a drenaje con sello de agua.
- Ingresar al paciente a cirugía vascular porque lo más probable es que tenga un aneurisma aórtico y requiera de cirugía de urgencia.
Comentario:
RESPUESTA: 4 Se trata de una pregunta fácil pero vinculada a la misma imagen y a la pregunta anterior, por lo cual es necesario saber cual es el diagnóstico. Las opciones 1 (adecuada para el manejo de un derrame pleural), 2 (adecuada para una posible neumonía), 3 (en caso de un edema agudo de pulmón) y 5 (adecuada si se tratase de una disección aórtica) son incorrectas. Lo adecuado es drenaje torácico mediante tubo de torax y conexión a drenaje con sello de agua (Pleur-Evac® o similar).
Pregunta 83
Mujer de 80 años, que acude al Servicio de Urgencias a las 4 de la madrugada por referir disnea de reposo de aparición súbita con tos seca y dolor torácico opresivo irradiado a cuello. Antecedentes de HTA esencial de larga evolución e infarto agudo de miocardio. A la exploración: TA 220/130 mm Hg, Fc 100 lpm. Fr 30 rpm. Saturación de 02 70%. Auscultación: ruidos rítmicos, rápidos, con crepitantes y sibilancias generalizados en ambos hemitórax. ECG: Taquicardia sinusal a 110 lpm, con inversión de la onda T en V1-V6. Radiografía de tórax: patrón en «alas de mariposa». Analítica: péptido natriurético (Pro-BNP) 400 pg/ml (normal <100 pg/ml). Señale lo FALSO respecto alias medidas terapéuticas:
- Le colocaría ventilación no invasiva pues mejora la oxigenación, la función cardiaca y reduce la necesidad de intubación orotraqueal.
- Le administraría morfina porque reduce la precarga y mejora la disnea y la ansiedad.
- Le administraría nitroglicerina intravenosa por sus efectos venodilatadores y vasodilatadores coronarios.
- El nitroprusiato es el vasodilatador recomendado.
- Al administrar furosemida se reducirá la precarga antes de iniciar su efecto diurético.
Comentario:
RESPUESTA: 4 Esta pregunta no me parece sencilla. El caso clínico es típico de una paciente con un edema agudo de pulmón. En estos pacientes está indicado tanto la ventilación no invasiva, como la morfina y en ambos casos, ambas respuestas (1 y 2) son correctas. La furosemida parece que tiene un efecto venodilatador por lo que reduce la precarga antes de disminuir la volemia mediante el efecto diurético. Según las guías de la European Society of Cardiology de 2012 sobre la Insuficiencia cardiaca aguda y crónica es adecuado administrar nitratos (recomendación tipo IIa) y se puede administrar nitroprusiato pero con precaución en pacientes coronarios (recomendación IIb) y dado que la paciente cuenta entre sus antecedentes con un infarto, parece que el nitroprusiato no debería ser el vasodilatador recomendado en este caso.
Pregunta 95
Una mujer de 63 años de edad, ingresada en el hospital para tratamiento quirúrgico de un cáncer de colon presenta dolor pleurítico en hemitórax izquierdo y disnea de comienzo brusco. A la exploración la enferma está taquipneica, con signos de mala perfusión periférica y TA sistólica de 70 mm Hg. Un ECG muestra inversión de la onda «T» de Vl a V4. ¿Cuál es la conducta clínica más adecuada para realizar a continuación?
- Pautar morfina, furosemida y dopamina y vigilar evolución.
- Se debe solicitar determinación de dímero D para continuar o descartar el diagnóstico de embolia de pulmón.
- Hay alta sospecha de embolia de pulmón y se debe iniciar tratamiento con heparina de bajo peso molecular sin realizar más estudios.
- Existe alta sospecha de embolia de pulmón masiva y se debe realizar angioTC para confirmarla y valorar tratamiento fibrinolítico.
- Se debe solicitar determinación de NT proBNP y Troponinas y conocer el resultado antes de realizar un nuevo procedimiento diagnóstico.
Comentario:
RESPUESTA: 4 El caso clínico corresponde a un tromboembolismo pulmonar. Es muy típico en pacientes con cáncer o sometidos a cirugía general o neurocirugía y los síntomas de dolor pleurítico y disnea han de hacer pensar en ello. Además existen otros datos como la taquipnea, la mala perfusión periférica y la hipotensión arterial, que lo clasifican como de alto riesgo. En este caso la respuesta 1 es incorrecta ya que sería el tratamiento de un edema agudo de pulmón. La respuesta 2 es incorrecta porque la determinación de dímero D solo es adecuada en caso de tromboembolismo pulmonar de “no alto riesgo” y además nunca va a confirmar el diagnóstico, en el mejor de los casos solo ayuda a descartarlo. La opción 3 es incorrecta porque aunque está indicada la anticoagulación, en caso de shock o hipotensión no se recomiendan heparinas de bajo peso molecular, (Guías TEP European Society of Cardiology) puesto que no se sabe como actúan en situación de shock y se recomienda heparina no fraccionada. La opción 5 no es correcta puesto que la determinación de pro-BNP o troponinas no ayuda en este caso y estando la paciente en shock, no es adecuado esperar demasiado. Por tanto, la respuesta correcta es la 4, ya que en caso de tromboembolismo pulmonar de “alto riesgo” con shock o hipotensións lo adecuado es realizar TC si está disponible (en caso de TC no disponible inmediatamente, se considera adecuado realizar ecocardiografía transtorácica) y en caso de confirmación administrar fibrinolitico (habitualmente r-TPA 100 mg durante 2 horas) ya que es la principal indicación en esta enfermedad.
Pregunta 131
Usted es el responsable de la unidad de observación de urgencias, donde tiene a su cargo cinco pacientes a los que acaba de pasarles visita. ¿A quien de ellos deberá dejar necesariamente en dieta absoluta?
- A un hombre de 64 años con una infección urinaria baja, que presenta glucemias capilares mantenidas entre 250 y 300 mg/dL y que está recibiendo ceftriaxona endovenosa, insulina rápida subcutánea cada 6 horas y 500 ce de suero fisiológico cada 4 horas.
- A una mujer de 44 años con sospecha de trombosis venosa profunda en la extremidad inferior derecha, que ha iniciado heparina de bajo peso molecular subcutánea a dosis anticoagulantes y que está pendiente de una ecocardiografía doppler.
- A una mujer de 71 años con antecedentes de hipertensión arterial, con unas cifras de presión arterial sistólica y diastólica persistentemente mantenidas por encima de 210 y 110 mmHg , respectivamente, y en la que acaba de prescribir el inicio de una perfusión con nitroprusiato sódico.
- A una mujer de 32 años con una fibrilación auricular de inicio hace menos de 24 horas, en la que el intento de cardioversión farmacológíca ha fracasado y que está esperando para una cardioversión eléctrica en urgencias las próximas horas.
- A un varón de 66 años con una neumonía en el lóbulo inferior derecho, en tratamiento con levofloxacino oral y oxigenoterapia con mascarilla facial con una concentración de oxí geno del 24% que le proporciona una satura ción arterial de oxígeno por pulsioximetria del 97%-98%.
Comentario:
RESPUESTA: 4 A una mujer de 32 años con una fibrilación auricular de inicio hace menos de 24 horas, en la que el intento de cardioversión farmacológíca ha fracasado y que está esperando para una cardioversión eléctrica en urgencias las próximas horas.Una pregunta curiosa sobre un tema que hasta donde yo conozco no había sido tocado en el MIR y sin embargo habitual de la práctica clínica. En principio deberíamos dejar en ayunas a aquellos pacientes que van a ser sometidos a intervención quirúrgica electiva o urgente, a aquellos pacientes en situación crítica que es probable que sufran deterioro de su situación clínica y necesiten intubación orotraqueal y a aquellos pacientes sobre los que se va a realizar un procedimiento que incluya sedación y durante un tiempo no vayan a ser capaces de proteger de forma adecuada su vía aérea. El paciente de la respuesta 1 parece un paciente estable con hiperglucemia pero no coma cetoacidótico y no parece que vaya a empeorar. La paciente de la respuesta 2, a pesar de una TVP no tiene un tromboembolismo pulmonar, parece estable y está pendiente de una prueba que no necesita sedación. La paciente de la respuesta 3 está con una crisis hipertensiva pero no parece una emergencia hipertensiva, esta con nitroprusiato pero parece estable. El sentido común podría aconsejar dejarla en ayunas, pero no es obligatorio. El paciente de la respuesta 5, es un paciente con una neumonía que parece bastante estable y que parece que podrá comer sin deterioro. Por último, la paciente de la respuesta 4, es una paciente sobre la cual se va a a realizar un procedimiento que precisa sedación y con frecuencia presenta incapacidad para proteger la via aérea de forma adecuada y precisa ventilación con bolsa mascarilla, por lo cual parece la mas indicada para dejar en ayunas.
Pregunta 132
Un hombre de 50 años ingresa inconsciente en Urgencias en situación de parada cardiorrespiratoria, procediéndose de forma inmediata a la aplicación de maniobras de RCP avanzada. Se objetiva en el monitor FV por lo que se realiza desfibrilación monofásica con carga de 300 Julios. La FV persiste, motivo por el que se reinician nuevos bucles de masaje cardiaco-ventialción. ¿Cuándo considera que está indicada la administración de amiodarona en este paciente?
- En caso de continuar la FV, después del tercer choque desfibrilatorio
- Debe aplicarse desde el inicio en RCP avanzada, cuando se detecte FV.
- Tras el primer choque desfibirlatorio, en caso de persistencia de la FV.
- No está indicada su administración en RCP avanzada.
- Sólo debe administrarse si se objetiva taquicardia ventricular polimorfa.
Comentario:
La respuesta correcta es: 1. En caso de continuar la FV, después del tercer choque desfibrilatorio
Podéis encontrar explicación a la respuesta correcta, que es la número 1, en los esquemas de soporte cardiaco avanzado de la AHA, cuyo enlace os dejo aquí.
Pregunta 133
Un hombre de 50 años de edad acude por dolor torácico a Urgencias. A su llegada, sufre pérdida de conciencia súbita. A la exploración, como arreactivo, ausencia de respiración y de pulso. ¿Cuál es la primera medida que se debe tomar?
- Aislamiento de la vía aérea mediante intubación orotraqueal y ventilación con bolsa autoinchable.
- Iniciar maniobras de RCP básica durante 2 minutos y posteriormente conexión al monitor desfibrilador.
- Canalización de una vía venosa periférica para administrar adrenalina
- Desfibrilación inmediata con la máxima energía
- Monitorización del ritmo cardiaco y desfibrilación si FV o TV.
Comentario:
La respuesta correcta es: 2. Iniciar maniobras de RCP básica durante 2 minutos y posteriormente conexión al monitor desfibrilador.
(Según las RESPUESTAS CORRECTAS APROBADAS PROVISIONALMENTE POR LA COMISIÓN CALIFICADORA, seria la 5).
La RCP se maneja por la evaluación ABCD. La A es de vía aérea. Lo primero que debemos hacer es mantener una vía aérea permeable para que el oxígeno llegue a los tejidos.
Pregunta 137
Un paciente de 56 años de edad va a ser intervenido por un cáncer de esófago en las próximas 4 semanas. Entre sus antecedentes personales, destaca una cardiopatía isquémica que precisó de la implantación 11 meses antes de 4 endoprótesis coronarias (Stents) recubiertas con fármacos. Por este motivo, se encuentra en tratamiento con doble antiagregación plaquetaria con 100 mgrs de ácido acetilsalicílico y 75 mgrs de Clopidogrel al día. ¿Qué decisión se debería tomar sobre la antiagregación preoperatoria del paciente?
- Suspender ambos antiagregantes plaquetarios 7 días antes de la operación, por el riesgo de hemorragia antes de la intervención.
- Sustituir la doble antiagregación 7 días antes de la intervención por HBPM a una dosis de 0.5 mgrs/kgr de peso cada 12 horas, administrando la última dosis 12 horas antes de la intervención quirúrgica.
- Suspender el clopidogrel 7 días antes de la operación y mantener el ácido acetilsalicílico hasta el día de la intervención para prevenir la obstrucción de los stents coronarios sin aumentar en exceso el riesgo de hemorragia intraoperatoria.
- Mantener los dos antiagregantes plaquetarios 7 días antes de la intervención, dado que existe un riesgo muy elevado de obstrucción de los stents coronarios.
- Suspender el ácido acetilsalicílico, mantener el clopidogrel hasta la intervención y complementar con HBPM hasta 12 horas antes de la misma.
Comentario:
La respuesta correcta es: 3. Suspender el clopidogrel 7 días antes de la operación y mantener el ácido acetilsalicílico hasta el día de la intervención para prevenir la obstrucción de los stents coronarios sin aumentar en exceso el riesgo de hemorragia intraoperatoria.
Se trata de un paciente con un riesgo hemorrágico alto y un riesgo trombótico alto, que aún no ha completado el año desde el implante de Stent farmacoactivo. Según el protocolo que existe actualmente, dado que el implante del SFA fue hace más de seis meses, se debería parar clopidogrel 7 días antes de la intervención y continuar con el AAS. En mi humilde opinión, habría que valorar en este caso también la posible trombosis de esos 4 stents y agregar heparina de bajo peso molecular. Pero la respuesta más correcta es la 3.
Pregunta 138
Una paciente de 65 años de edad, sin antecedentes de interés, es intervenida de forma urgente por presentar una colecistitis aguda. Se decide proceder a la inducción anestésica mediante 200 mgrs de propofol y 100 mgrs de succinilcolina, seguida de un mantenimiento mediante isofluorano y una perfusión de remifentanilo. Poco después de la inducción, los niveles de dióxido de carbono teleespiratorio comienzan a subir. Minutos más tarde, la paciente presenta taquicardia de 140 latidos por minuto, con frecuentes extrasístoles ventriculares y descenso de la saturación de oxígeno medida por el pulsioxímetro, a la vez que se aprecia una mayor dificultad para la ventilación mecánica pero sin disminución del volumen minuto. Se obtiene una gasometría arterial que muestra hipoxemia, hipercapnia y acidosis metabólica. Se mide la temperatura obteniendo 39 grados centígrados, ¿Cuál es la actitud adecuada?
- La paciente tiene una despertar intraoperatorio que causa la taquicardia y el resto de los hallazgos. El procedimiento adecuado es aumentar la proporción de isofluorano en el gas inhalado, además de administrar un opiáceo para reforzar la analgesia,
- El diagnóstico más probable es una sepsis de origen biliar. Se deben obtener hemocultivos, administrar un antibiótico de amplio espectro, paracetamol intravenosos y aumentar la proporción inhalada de isofluorano para profundizar la anestesia.
- La taquicardia y las extrasístoles ventriculares sugieren que la paciente presenta un síndrome coronario agudo que causa el resto del cuadro clínico. Se debe realizar urgentemente un ECG y administrar betabloqueantes y nitroglicerina iv
- Probablemente es una reacción anafilactoide a alguno de los fármacos anestésicos. El tratamiento correcto incluye administrar antihistamínicos y corticoides, además de otras medidas de soporte vital avanzado que se puedan precisar.
- El cuadro clínico podría corresponder a una hipertermia maligna y es una urgencia vital. Se deben descartar otras causas de hipertermia, suspender el isofluorano y administrar oxígeno al 100%, además de prepararse para la administración urgente de dantroleno sódico si se confirma el diagnóstico.
Comentario:La respuesta correcta es la 5. El cuadro clínico podría corresponder a una hipertermia maligna y es una urgencia vital. Se deben descartar otras causas de hipertermia, suspender el isofluorano y administrar oxígeno al 100%, además de prepararse para la administración urgente de dantroleno sódico si se confirma el diagnóstico.La hipertermia maligna es una miopatía rara caracterizada por un estado hipermetabólico agudo tras la inducción de la anestesia general. Existen varios fármacos que predisponen a ella, entre los cuales se encuentran el isofluorano y la succinilcolina. Los primeros signos son rigidez de los maseteros, taquicardia e hipercapnia por aumento de la producción de CO2. La taquipnea es importante cuando no se usan relajantes musculares. La hiperactividad del sistema simpático origina taquicardia, arritmias, hipertensión y cianosis moteada. La hipertensión va seguida inmediatamente de hipotensión y la temperatura puede subir a un grado cada 5 minutos. Los estudios de laboratorio indican acidosis mixta, gran déficit de bases y muy baja saturación mixta de O2 venoso.Uno de los indicadores más sensibles al inicio de un cuadro de hipertermia maligna es la elevación al doble – o incluso al triple – del dióxido de carbono al final del intercambio. Debe suspenderse el fármaco desencadenante de inmediato y administrarse dantroleno de inmediato porque, en cuestión de minutos, sobreviene una fibrilación ventricular – principal causa de muerte – seguida de coagulación intravascular diseminada e insuficiencia renal aguda.
Pregunta 208
¿Cuál es la base funcional a nivel medular del dolor referido?
- La activación exclusiva de neuronas específicas de la nocicepción.
- La convergencia de información cutánea y visceral en neuronas de gama dinámica ancha.
- El bloqueo de sustancia P desde las aferencias primarias.
- La interrupción de las fibras del tracto espinotalámico lateral
- La separación de la información medular de acuerdo al principio de divergencia.
Comentario:
La respuesta correcta es la 2. La convergencia de información cutánea y visceral en neuronas de gama dinámica ancha.
El dolor referido aparece cuando el estímulo visceral es más intenso de lo habitual o el umbral de dolor está disminuido. Traduce, generalmente, la existencia de un problema de tipo visceral más que un trastorno funcional. Aunque la transmisión del estímulo inicial es conducida por los nervios esplácnicos, la convergencia de neuronas somáticas y viscerales en una misma neurona medular determina que el dolor sea localizado en las mismas áreas que reciben la inervación somática del mismo segmento medular del órgano afectado. En este caso, pueden existir áreas de hiperestesia cutánea y defensa muscular.
fuente
http://wikisanidad.wikispaces.com/Anestesiologia+2013




